Tongue-Tie Release
What is a Tongue Tie?
The term “tongue tie” refers to an abnormally tight attachment of the tongue to the structures around it, a condition called ankyloglossia. The formal name for this attachment is the lingual frenum. The lingual frenum is continuous with a chain of fascial (connective) tissue that runs from the tongue down to the toes, giving support to various structures throughout the body.
Everyone has a lingual frenum, and it is only an issue if it is restrictive. When the frenum attachment is too short, too thick, too far forward, or too tight, it can limit the movement of the tongue to cause problems with oral posture, function, growth and development.
As you can imagine, with its connection to the fascial tissue chain that runs through the body, a lingual frenum restriction can also contribute to many other issues throughout the body, including breathing issues, chronic head/neck/shoulder tension, poor body posture, and functional issues like toe walking. As if that is not complex enough, tongue ties can further be classified into Anterior Tongue Tie or Posterior Tongue Tie.
Anterior Tongue Tie
An anterior tongue tie is a more superficial and visible tie, closer to the front of the tongue. It attaches at or near the tip of the tongue, resulting in a heart shaped appearance of the tip of the tongue when elevated or protruded.
Posterior Tongue Tie
A posterior (submucosal) tongue tie is often not as visible to the untrained eye, due to its deeper position. It restricts movement of not only the front, but also the middle and back of the tongue. This is the type of tongue tie that is most often missed yet, with its deeper attachment, it can have a more profound impact on fascial tension and tongue dysfunction.
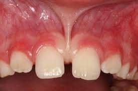
An upper labial tie causing a diastema.
A lower labial tie causing recession.
What is a Lip Tie?
The term “lip tie” refers to an abnormally tight attachment of the upper or lower lip to the gingival tissue attached to the bone underneath it. In infants and children, a lip tie can contribute to issues with feeding, speech, tooth position, and decay rate (due to inability to adequately clean the teeth under the tie). In older children and adults, a lip tie can also be contributory to gingival recession, bone loss, and excess gapping between the two front teeth.
What is a Buccal Tie?
A buccal tie refers to an abnormally tight attachment of the upper or lower mucosal tissue of the cheek to the gingival tissue attached to the bone underneath it. If more severe, buccal ties can cause recession and bone loss around the teeth in the area of attachment.
Dr. Mindy understands that diagnosis and treatment of tongue ties, and other fascial restrictions, plays a very important role in overall health, development, and quality of life. She maintains her membership in the American Laser Study Club and stays up to date with all of the science, technique, and integrative treatment of tongue ties and other oral restrictions, including lip (labial) and cheek (buccal) ties.
A tongue tie, and/or lip and buccal ties, can have tremendous effects for patients of all ages and, due to the varying nature of key issues in different age groups, it is most effective to consider these groups independently.
A buccal tie causing recession.
Tongue Tie and Lip Tie by Age Group
Infants
We want to do all that we can to help our babies thrive. A tight lingual frenum (tongue tie) and/or a tight labial frenum (lip tie) can play a role in a multitude of issues that we see in infants and toddlers.
A tongue and/or lip tie can have a role in any of the following:
- Breastfeeding issues (pain for mom, undernourishment for babe)
- Torticollis
- Colic
- Reflux
- Aerophagia
- Mouth breathing
- Recessed mandible
- Recurrent ear infections
- Trouble with the introduction of solid foods
- Trouble eating from a spoon
Children
A tight lingual frenum (tongue tie) and/or a tight labial frenum (lip tie) can play a role in a number of issues for growing kids.
A tongue and/or lip tie can have a role in any of the following:
- Speech issues, trouble with certain sounds (s, t, l, r, ch, sh, th, f, z)
- Tooth eruption and alignment issues
- Increased tooth decay
- Altered jaw and facial development
- Smaller jaws, smaller nasal cavities
- Reflux
- Aerophagia
- Mouth breathing
- Sleep disordered breathing (restless sleep, night terrors, snoring)
- Prolonged bed wetting
- Ear infections
- Chewing and swallowing dysfunction
- Difficulty with certain food textures
- Strong gag reflex
- Poor body posture
- Toe walking
Adults
A tight lingual frenum (tongue tie), a tight labial frenum (lip tie), or a tight buccal frenum (cheek tie) in adults can be a root cause of or contributor to multiple issues.
Tongue tie can contribute to the following issues (lip and buccal ties, as well, can contribute to those issues at the end of the list):
- Chronic head, neck, shoulder tension
- Recessed mandible, weak jawline
- Swallow dysfunction
- High palatal vault
- Tooth misalignment
- Diastemas (gaps) between teeth
- Sleep disordered breathing (restless sleep, snoring, sleep apnea)
- TMJ dysfunction (jaw joint issues)
- Bruxism (grinding teeth)
- Migraines
- Poor body posture
- Reflux
- Mouth breathing
- Chewing and swallowing dysfunction
- Difficulty with certain food textures
- Difficulty swallowing pills
- Strong gag reflex
- Increased tooth decay
- Gingival recession
- Bone loss around teeth
Tongue and Lip/Buccal Tie Release
Lingual/Labial Frenectomy for Infants
The lingual and/or labial frenectomy for infants is a very quick and efficient procedure with our Lightscalpel CO2 laser. Upon arrival, we’ll bring mama and babe back to a private room, comfortably swaddle babe and place infant sized eye protection. With the precision of the laser, the procedure itself lasts well under a minute. We’ll assure mama’s understanding of important post operative stretches and exercises, then leave you in your own private room to nurse peacefully with your babe’s newly freed tongue and/or lip.
Lingual Functional Frenuloplasty and Labial/Buccal Frenectomy for Children and Adults
For children and adults, compensations develop over time with a tongue tie, causing recruitment of surrounding and accessory muscles to help do the work of speaking, eating, swallowing, and posturing- activities that the restricted tongue can’t sufficiently do itself. In order to get an ideal release of restricted tissue, and to gain more optimal mobility and function after the release, Dr. Mindy believes it essential for a patient to complete oral myofunctional therapy both before and after the procedure. Oral myofunctional therapy consists of situationally tailored exercises to improve tongue function with elimination of restrictions. With our own certified oral myofunctional therapist at Apex, and with working relationships with a number of myofunctional therapists elsewhere, Dr. Mindy and her team will start the process by helping you to find the myofunctional therapy program that works best for you.
Whether coming for release of a simple labial/buccal tie, or having a functional release of a compensated tongue tie, the CO2 laser procedure will be smooth and efficient. We will assure your comfort, complete the quick procedure, and confirm your understanding of post operative stretches and care.
FAQs
Why a CO2 Laser?
Dr. Mindy and Apex Dental own and utilize the applauded LightScalpel CO2 laser. With CO2 laser frenectomy, patients report less post-operative pain, almost no bleeding, faster healing, and much less scarring.
Many surgical techniques have been utilized for tongue-tie releases through the years, such as scalpel, scissors, and electrosurgery. Traditional releases involve increased bleeding and post-operative discomfort. The most up-to-date techniques utilize lasers.
Not all lasers are made equal. The CO2 laser has a combination of a specific wavelength and SuperPulse settings that allows for a char-free and bloodless surgery, without need for tissue contact. It allows for much more cutting efficiency than typical dental diode lasers, which have a “hot tip” and require tissue contact with resultant charring.
How can a tongue tie affect my posture and neck/shoulder pain?
The postural issues often associated with a tongue tie include rolled/hunched shoulders and a forward head posture. The restricted tongue requires the use of accessory muscles in the neck to perform functions such as breathing, chewing, and swallowing. This hyperactivity of the neck muscles causes muscle shortening and induces forward head posture. The farther forward the head is postured, the more postural strain the relative weight puts on the spine and the muscles of the neck and shoulders.
How can a tongue tie affect my breathing?
A tongue restriction, particularly a posterior tongue tie, can affect breathing in two major ways: by limiting the diaphragm and by shrinking the airway space.
A posture with head and shoulders hunched forward can have profound effects on breathing. Healthy breathing is low and slow, through the nose, fully extending the diaphragm in order to promote air exchange throughout the entire surface of the lungs. A hunched posture inhibits the ability to breathe low and fully extend the diaphragm, and rather results in short and shallow breathing in the upper chest, only using the top portion of the lungs for air exchange.
To feel the difference that posture can make, give this a try… hunch forward, let your tongue hang low, and pay attention to your breathing … Now, roll your shoulders back, sit up straight, press your tongue up into your palate, and note how much more you can feel your breath.
That brings us to the second way that a tongue tie can affect your breathing. If the middle of your tongue cannot raise to rest properly up in your palate, the low hanging base of your tongue will fall back into the airway space behind it, thereby restricting airflow when you are breathing. The ability to raise the middle and posterior of the tongue to the palate is very important to keeping a more open airway behind it.

Still Have Questions?
You’re Not Alone.
Give us a call or share your questions in our appointment request form. We’re happy to help!
Dentists who put your comfort, confidence, and whole health first.
725 S. 51st Street, West Des Moines, IA 50265
515.224.1618
Monday–Thursday, 8AM–5PM