Jaw and Facial Development in Children
Helping Kids Grow Perfect Faces
The development of a child’s face and jaws to genetic potential is critical to proper airway development, facial profile, lifetime TMJ health, and to the position and alignment of teeth.
As you can see, the maxilla (the upper jaw) is much more than just the bone that holds our teeth. The maxilla is the entire central portion of our face. It determines our nasal cavity, our airway space, our cheekbones, and the position of our mandible. Consequently, the proper development of the maxilla is the key to proper facial development, essential to both health and beauty.
Normal growth promotes a healthy airway and a broad smile with well-aligned teeth and little need for orthodontic treatment. We invite you to contact our office at 515.224.1618 to schedule a consultation with Dr. Mindy Richtsmeier, to learn more about pediatric jaw growth and to assess the growth of your child’s face and airway.
How Can Our Kids’ Jaws Develop Ideally?
Jaw development is a product of the environment in which the jaws are growing. To many peoples’ surprise, genetics plays only a very small role in the matter. An example can be seen in the photo below of a child treated with orthotropics to enhance early natural jaw development, along with her parents who did not have such treatment. Note the balanced facial profile of the young girl, in contrast to the altered facial profiles of her parents with retruded “set back” jaws.
The young girl in the photo has the same genetic code as her parents. In her pretreatment photo, this child shows facial muscle tension with poorly developing jaws and facial profile, much like the profile seen in her mother. With early identification of her soft tissue imbalance by an orthotropic provider and intervention with myofunctional exercises and noninvasive removable appliances, her jaws were able to get back on track and develop to their full potential.
Jaw growth is guided by the muscle and soft tissue of the face. If muscle or soft tissue dysfunction exists, jaw growth is altered. Muscle and soft tissue dysfunction include an improper swallow, prolonged thumb/pacifier habits, overactive lip and cheek muscles, mouth breathing, a resting open mouth posture, and low tongue posture… to name a few. While the comprehensive list of oral dysfunction is long, all of the items can be corrected with intervention.
Images courtesy of Forwardontics
The Resting Oral Posture “Big Three” for Facial Development
When any of the “Big Three” are interrupted during development, we commonly see patients with an upper jaw that is too small (underdeveloped), a lower jaw that is too small (underdeveloped) and one or both jaws recessed.
1
Proper tongue posture
(on the roof of the mouth)
2
Lips sealed with
teeth lightly touching
3
Nasal breathing
(mouth closed)
Why the “Big Three” Matters
While sitting up straight is critical to proper breathing and overall muscle balance, good posture goes beyond this. A very important, yet often ignored, component of appropriate breathing and muscle balance is proper resting posture of the mouth. This proper resting oral posture is critical to the proper development of the face and airway. The jaw bones- the maxilla and the mandible- make up the lower half of the face. These structures cannot develop to their genetic potential if the surrounding muscles are not applying forces appropriately. The absence of any of the “Big Three” during growth and development of the jaws, brings disharmony and imbalance of the craniofacial structure, which can result in altered growth conditions known as midface deficiency and long-face syndrome.
1.) Proper Tongue Posture
The tongue can exert up to 500g of force, making it one of the strongest muscles in the human body. To put this into perspective, the force necessary to move a single tooth is only 1.7g.
The tongue is the major shaper of the palate and jaws and can perform its function properly only when it is in the appropriate position. When not eating or speaking, your tongue should naturally rest on the roof of the mouth. Swallow dysfunction arises when the tongue does not already rest in the palate, and the forces of the tongue against the teeth in a dysfunctional swallow can easily reshape the jaws and alter tooth alignment.
When resting appropriately in the palate, the tongue will cause the upper jaw to broaden and grow forward in a healthy and esthetically appealing manner. When this does not happen, due to mouth breathing, open-mouth posture or tongue tie, the midface does not grow properly and the lower face narrows and elongates.
The tongue is NEVER in the proper position when a child is mouth breathing or exhibiting open mouth posture during the day or while asleep.
2.) Mouth Closed
The mouth should always rest in a closed position, with the teeth either slightly apart or just lightly touching. With the mouth closed and tongue up in the palate, the growth of a child’s jaws (and thus the midface and lower face) is forward and outward, allowing for defined facial structures and a prominent airway behind the jaws.
When the mouth hangs open, the open lower jaw pulls the tongue down and back. The base of the tongue bulges into the airway, which restricts airflow when breathing. Not only does this posture decrease breathing efficiency, it also brings consequences with jaw and facial development. Soft tissue imbalance is at its most severe with open mouth posture. There is no forward and outward palatal pressure from the tongue to stimulate proper jaw growth. To make things worse, the passive inward pressure from the cheeks, with an open mouth, applies forces to push the jaws in the opposite direction of normal growth- downward and inward. The result is less bony support and definition of facial structures and a smaller, more collapsible airway behind the jaws.
3.) Lips Sealed
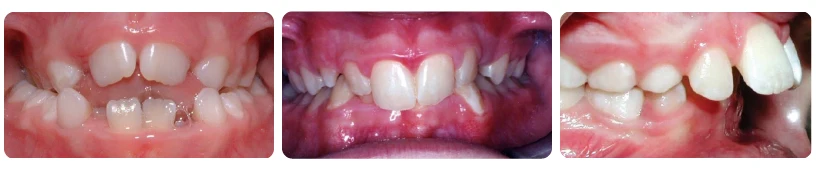
Lip seal is very important to the shaping of the front part of the jaws and to the angulation of the anterior teeth. Closed lips promote upright front teeth. In combination with an open mouth and improper tongue posture, open lips can result in more flaring of the top front teeth. This problem can be exacerbated by a lower lip that begins to rest behind the top front teeth when the mouth is closed, as seen in the third picture below.
Some of the dental arch development issues from the improper oral posture “Big Three” described above can be seen in the following photos, courtesy of the American Association of Orthodontists.
While there are many issues at play with any deviation from the “Big Three” in resting oral posture and the effects on improper jaw development, the main culprits in poor jaw and airway growth are listed below:
- Mouth breathing (often accompanied by enlarged tonsils and adenoids, allergies)
- Incorrect tongue posture (low tongue posture, tongue resting between the teeth)
- Poor oral positions (lips apart, bottom jaw hanging open, excessive inward pressure of lip and cheek muscles)
- Adverse swallowing patterns
- Thumb-sucking, excessive pacifier habit
- Epigenetics, the environmental factors listed above that alter our genetic expression, is the dominating factor in malocclusion and poor facial development.
The “Symptoms” of Soft Tissue Imbalance and Underdeveloped Jaws
It is critical to your child’s proper facial growth, airway development, and jaw joint health that the child consistently and exclusively breathes through the nose with proper oral rest posture (tongue up, mouth closed, lips sealed), and that all damaging myofunctional (oral and tongue) habits are eliminated. Without all of these components in place, deviation from normal growth can occur and, more concerning, we may see symptoms of Sleep Disordered Breathing and the autonomic nervous system imbalance of chronic mouth breathing.
Poor craniofacial development can manifest in many ways:
- Facial growth alteration, including
- Long-face syndrome (elongated narrow face)
- Midface deficiency
- Recessed chin/jaw
- Sunken cheeks (cheekbones don’t develop fully)
- Small jaws without room for all the permanent teeth
- Sleep-disordered breathing and the consequences of sleep disruption
- Snoring, gasping, open-mouth posture at night
- Bedwetting
- Grinding teeth
- Restless sleep, waking frequently
- Night terrors
- Difficulty waking in the morning, daytime drowsiness
- Attention Deficit Disorder (ADD or ADHD), difficulty in school
- Aggressive behavior, irritability, behavioral problems
- Mouth breathing and its effects on health
- Reduction in oxygen absorption
- Unfiltered air irritation of throat tissues and lungs
- Poor body posture
- Shallow noisy breathing
- Speech difficulties (common sounds r, l, s, t, th)
Not only do these early deficiencies in facial growth cause early changes in breathing and sleep quality, but they also can impact the child’s long-term health. When the jaws, palate, and airway develop abnormally, this can lead to:
- Future TMJ issues
- Current or future Obstructive Sleep Apnea
- Chronic illness due to fragmented sleep and the body’s inability to properly rest and restore
- Headaches, shoulder & neck pain, poor posture
Sleep Disordered Breathing in Children
In children, craniofacial development may be adversely affected by mouth breathing at night. Sleep-disordered breathing can also impact your child’s overall health and is linked to hyperactivity. A recently published article states that children with snoring, apnea, or mouth breathing are 40 to 100 percent more likely to suffer from Attention Deficit Hyperactivity Disorder (ADHD).
Early evaluation for the signs of poor jaw development can play a critical role in improving a child’s oral and overall health. Mouth breathing at night affects more than just jaw and facial development. When the mouth is open, the lower jaw falls down and backward. The base of the tongue falls backward with it. This backward position of the mandible and tongue reduces the space of the airway behind it, as illustrated in the images below, showing the difference in the airway space when the mouth is open vs closed.
The medical profession now recognizes that mouth breathing is abnormal and is also one of the main contributors of Sleep Disordered Breathing (SDB) problems.
The causes of mouth breathing include:
- Allergies
- Chronic open-mouth posture
- Myofunctional (tongue) habits
- Ankyloglossia (tongue tie)
- Frequent viral infections
- Enlarged tonsils and adenoids. This is a two-way street. Unfiltered air from mouth breathing makes the tonsils and adenoids swell. Swollen tonsils and adenoids obstruct the nasal airway, leading to more mouth breathing.
- Pacifier use
- Thumb-sucking
The photograph at the far left above shows a boy at the age of ten. He breathes through his nose and has a well-developed face. Everything is proportional and the boy has well-defined eyes, cheekbones, lips, and chin. When he was 14, he got a gerbil and developed an allergy that left him with a stuffy nose, which caused him to start breathing through his mouth. The photos in the middle and on the right show the same boy at the age of 17. Breathing through his mouth caused his face to grow downward instead of forward, making his face long and narrow. His nose looks larger and his chin is narrow because his upper and lower jaws did not grow forward and outward.
Photos courtesy of Dr. John Mew
Interceptive and Corrective Orthodontics
With children, Dr. Mindy utilizes a “Foundation First” treatment approach. Utilizing appliances tailored to each child’s specific conditions, the goal is to harness the remaining active growth to develop jaws that are able to accommodate all permanent teeth, to comfortably fit the tongue, to grow an ideal airway in form and function, and to allow for a bite with stable TMJ health.
A child’s craniofacial complex has completed 89 to 94 percent of active growth by age 12, with nearly three-quarters of craniofacial growth being complete already by age 4. If our aim is to alter development and stimulate the growth of the bony foundation, then our mantra is “the sooner the better.”
Recent studies show that 75 percent of growing children have malocclusion and incorrect facial development. Soft tissue dysfunction is the major cause. By age 3 to 5, crooked teeth and abnormal face and jaw development can already be noted. These changes are often blamed on genetics, but incorrect mouth posture, prolonged thumb/pacifier habits, and reverse swallowing are the real causes of poor craniofacial growth.
A Phase I Orthodontic “Foundation First” approach will include expansion appliances, along with adjunctive treatment necessary to correct the soft tissue imbalance that derailed the craniofacial development in the first place. Dr. Mindy likes to say that she has a lot of tools in her belt, as no two cases present alike. Different types of fixed and removable expanders can be used to stimulate the production of new bone, and to model and shape existing bone. This Phase I expansion treatment enhances our ability to:
- Widen the upper palate
- Stimulate the upper jaw to grow forward
- Allow the lower jaw to grow forward without compression of the TMJs
- Create space and allow teeth to move to the proper position
- Decrease the complexity of future orthodontic needs, as the permanent teeth will have the properly sized foundation to all fit in the dental arch
Specific to each patient’s needs, Dr. Mindy utilizes the proper suitable appliances, which may include Biobloc Orthotropics, GOPex and Forwardontics, Airway Health Solutions expansion techniques, Crozat expanders, expansive Clear Correct or Invisalign, expansive braces, Myobrace and Healthy Start appliances, and/or MyoMunchee. Aside from appliances to grow underdeveloped jaws, the Foundation First approach places a heavy focus on promoting proper forward and outward growth following expansion, with correction of soft tissue imbalance that led to the pre-treatment poor development. Adjunctive treatment to promote proper growth may include Oral Myofunctional Therapy, the release of restrictive tongue/lip/buccal tie if indicated, and constant reinforcement of proper oral rest posture and nasal breathing.
Achieving proper tongue posture and function by proactively addressing mouth breathing requires addressing nasal and pharyngeal patency first. Once nasal breathing and proper oral posture have been re-established, it is possible to reverse the facial defects that have begun to develop in the small child with the help of myofunctional exercises and expansion appliances. These tools can be used to correct the trajectory of growth, and this can have dramatic effects on the face, jaw, and airway.
Have concerns about your child’s early craniofacial development and/or sleep-disordered breathing?
We invite you to contact our office to schedule a consultation with Dr. Mindy Richtsmeier, to learn more about pediatric jaw growth, and to assess the growth of your child’s face and airway.
Happy Patients
“
Dr. Mindy and her staff are top-notch. I had a posterior tongue tie and frenulectomy. I felt very supported and taken care of during the whole procedure and post op. Dr. Mindy is highly talented, compassionate, and has a very integrative, holistic approach to oral health. She takes her time and is very thorough in her work with patients. I would 100% recommend Apex Dental.
– Allison
“
My entire family loves Apex Dental! Every single person is so kind and welcoming. Dr. Mindy has created an incredible plan for my 7-year-old daughter’s complex orthodontic case. We are so thankful we found her because we had never been presented with options that we felt right about pursuing. I’m beyond thankful to know my daughter can have a beautiful smile. This office is all-inclusive to dental needs, offering IV sedation, oral surgery, implants, and cosmetic dentistry! This is the type of office that can cover all your needs for a lifetime. I wouldn’t recommend anywhere else!
– Mrs TNel
“
We absolutely love Dr. Mindy and her staff and Apex Dental. It is obvious to me that she genuinely loves my children and is emotionally invested in their success with orthodontics. I love that Dr. Mindy is continually learning and educating her staff.
– Bobbi
Dentists who put your comfort, confidence, and whole health first.
725 S. 51st Street, West Des Moines, IA 50265
515.224.1618
Monday–Thursday, 8AM–5PM